Últimos Posts
recent

Articulações (Junturas)

Definição:
* Estudo das articulações
* União dos ossos para formação do esqueleto
* Mobilidade, que varia de acordo com o tipo de união

Classificação das articulações

Podemos classifica-las do seguinte modo;
Aspectos estruturais e funcionais (Morfologia e Tecido interposto)

* Fibrosa
* Cartilaginosa
* Sinoviais

As articulações fibrosas não possuem movimento

Tecido conjuntivo fibroso
Sem presença de cavidade entre os ossos

Articulações fibrosas

Suturas (São pequenos afastamentos entre ossos e pouco tecido)

Plana: A união entre os ossos é reta.
a(Ex.: Ossos Nasais, internasal, palatina, mediana, nasomaxilar, frontolacrimal, esfeozigomática, lácrimomaxilar.)







Serrátil: A União entre os ossos é em serra.
c(Ex.: Ossos Parietais, temporoparietal, esfenofrontal, esfenotemporal)







Escamosa: A união entre os ossos é em bisel.
b(Ex.: Osso Temporal, interparietal, frontoparietal, ociptoparietal, zigomáticamaxilar.)






Sindesmoses: Formação de uma membrana interóssea.
1
(Ex.: Tibiofibular distal,membranas interósseas do braço e da perna e entre a base do estribo e a membrana timpânica (tímpano-estapedial).




Gonfose: Formação de cone ou pino, um encaixe. articulação entre os dentes e seus alvéolos. Podem ser maxilares e mandibulares
2
(Ex.: Dentes)



Articulações Cartilagíneas (movimento limitado)

Tecido cartilaginoso
Sincondroses: Apresentam cartilagem hialina
Sínfises: Apresentam cartilagem fibrosa
3







Planos e Eixos do corpo Humano

image












Eixo ântero-posterior = Eixo sagital
Plano ântero-posterior = Plano sagital

Articulações sinoviais (amplo movimento)

Líquido sinovial
Mobilidade
*Componentes anatômicos (elementos):
>Cápsula articular: envolve a articulação   
>>Membrana fibrosa: externa
>>Membrana sinovial: interna
Cavidade articular:espaço entre os ossos
Cartilagem articular: apresenta cartilagem hialina
Discos e meniscos: fibrocartilagens intra-articulares
*Ligamentos: união e limitação de movimento
>Intra-capsulares
>Extra-capsulares
34










Classificação quanto ao número de eixos

Cada movimento se realiza em torno de um dos três eixos (longitudinal, sagital e transversal).
De acordo com o número de eixos que a articulação possui podemos classificá-las em: monoaxiais, biaxiais e triaxiais.
Articulações anaxiais são as que não tem eixo de movimento.

Classificação quanto à forma

Plana/artródia: superfícies planas
permite deslizamento entre as superfícies. Ex.: ossos do tarso, sacro-ilíaca.
Das articulações sinoviais é a que apresenta menor liberdade de movimento entre ossos.
Classificação quanto ao número de eixos: Deslizamento
image






Classificação quanto à forma

Trocóide/cilíndrica:  forma cilíndrica
Um pivô ósseo gira dentro de um anel osteoligamentar.
Permite rotação ao redor do eixo longitudinal. Ex.: articulação rádio-ulnar
Classificação quanto ao número de eixos: mono-axial
image





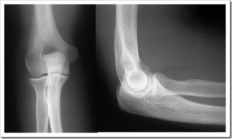
Classificação quanto à forma

Gínglimo/ dobradiça: uma superfície côncava e outra convexa
Comporta-se como uma dobradiça de porta;
permite flexão e extensão Ex.: Articulação do cotovelo
Classificação quanto ao número de eixos: Mono-axial
image







Classificação quanto à forma

Selar: forma de sela
permite flexão, extensão, adução, abdução e rotação. Ex.: articulação carpo-metacárpica do polegar
Classificação quanto ao número de eixos: bi-axial (a rotação isolada não pode ser realizada pelo polegar: ela só é possível com a combinação de outros movimentos)
image








Movimentos

Flexão e extensão: plano sagital, em torno do eixo transversal. Flexão diminuição do ângulo entre os segmentos que se articulam. Extensão afastamento dos segmentos.
Adução e abdução: ocorrem no plano frontal, em torno do eixo sagital. Abudção o segmento se afasta do plano mediano. Adução aproximação. (SOUZA, 2003)
image








image






image
imageimage






Abraço a todos
Prof. Raynner Barbalho
Raynner

Raynner

Nenhum comentário:

Postar um comentário

Tecnologia do Blogger.